بیوفیزیک چیست و چه کاربردی دارد؟ + معرفی فیلم های آموزشی
تحقیقات بیولوژیکی در قرن 21 شامل آزمایشهایی است که حجم عظیمی از دادهها را تولید میکند. چگونه زیست شناسان میتوانند درک این دادهها را آغاز کرده یا نحوه عملکرد این سیستمها را پیشبینی کنند؟ اینجاست که متخصصان بیوفیزیک وارد عمل میشوند. بیوفیزیک رشتهای است که به کاربرد اصول و روشهای فیزیک و سایر علوم فیزیکی در حل مشکلات بیولوژیکی مربوط میشود. در این مطلب به بررسی شاخههای مختلف بیوفیزیک، کاربردهای آن در زندگی و دیگر علوم و همچنین معرفی فیلمهای آموزشی بیوفیزیک میپردازیم.


بیوفیزیک چیست؟
بیوفیزیک آن شاخهای از دانش است که اصول فیزیک و شیمی و روشهای تجزیه و تحلیل ریاضی و مدل سازی رایانهای را در سیستمهای بیولوژیکی با هدف نهایی درک در سطح اساسی ساختار، پویایی، فعل و انفعالات و در نهایت عملکرد سیستمهای بیولوژیکی به کار میگیرد. بیوفیزیک به دنبال توضیح عملکرد بیولوژیکی از نظر خواص فیزیکی مولکولهای خاص است.
بیوفیزیک برای درک مکانیک نحوه ساخت مولکولهای زیستی، نحوه حرکت و عملکرد قسمتهای مختلف سلول و نحوه عملکرد سیستمهای پیچیده در بدن ما مانند مغز، سیستم گردش خون، سیستم ایمنی و غیره بسیار مهم بوده است. بیوفیزیک یک زمینه علمی پر جنب و جوش است که در آن دانشمندان از بسیاری از زمینهها از جمله ریاضی، شیمی، فیزیک، مهندسی، داروسازی و علوم مواد از مهارتهای خود برای کشف و توسعه ابزارهای جدید جهت درک نحوه عملکرد زیست شناسی در تمام زندگی استفاده کنند.
دانشمندان فیزیک از ریاضیات برای توضیح آنچه در طبیعت اتفاق میافتد استفاده میکنند. دانشمندان بیوفیزیک میخواهند نحوه عملکرد سیستمهای بیولوژیکی را درک کنند. این سیستمها شامل مولکولها، سلولها، موجودات زنده و اکوسیستمهای بسیار پیچیده هستند. بیوفیزیکدانان در علوم کمی فیزیک، ریاضی و شیمی به طور منحصر به فرد آموزش دیده اند و میتوانند طیف وسیعی از موضوعات اعم از نحوه ارتباط سلولهای عصبی، چگونگی جذب سلولهای گیاهی و تبدیل آن به انرژی، تا چگونگی تغییرات در DNA سلولهای سالم و تبدیل آنها به سلولهای سرطانی و بسیاری از مشکلات بیولوژیکی دیگر را حل کنند.
تاریخچه بیوفیزیک
بیوفیزیک شاخهای نسبتاً جوان از علم است. در اوایل تا اواسط قرن بیستم به عنوان یک زیرمجموعه علوم پایه پدید آمد. با این حال، پایههای مطالعه بیوفیزیک خیلی زودتر، در قرن 19، توسط گروهی از فیزیولوژیستها در برلین گذاشته شد. مدرسه فیزیولوژی برلین شامل هرمان فون هلمولتز، امیل دوبو ریموند، ارنست فون برکه و کارل لودویگ بود. در سال 1856، آدولف فیک، یکی از شاگردان لودویگ، حتی اولین کتاب درسی بیوفیزیک را منتشر کرد. اما تکنولوژی در فیزیک در آن زمان به اندازه کافی پیشرفت نکرده بود تا پدیدههای زیستی را به صورت دقیق، مانند در سطح مولکولی مطالعه کند. در نیمه اول قرن بیستم، دانشمندان آلمانی بر بیوفیزیک تسلط داشتند.
آنها میدانهای الکترومغناطیسی و نور را مورد مطالعه قرار دادند و عمدتا به مطالعه تأثیرات تابش بر موجودات زنده پرداختند. زمانی که اروین شرودینگر فیزیکدان اتریشی کتاب زندگی چیست را منتشر کرد، محبوبیت بیوفیزیک در سال 1944 افزایش یافت. این کتاب بر اساس مجموعهای از سخنرانیهای عمومی بود که شرودینگر درباره توضیح فرایندهای موجودات زنده از طریق فیزیک و شیمی ارائه کرد. در آن، او این ایده را مطرح کرد که یک مولکول در موجودات زنده وجود دارد که حاوی اطلاعات ژنتیکی در پیوندهای کووالانسی است. این امر دانشمندان مانند جیمز واتسون و فرانسیس کریک را برای جستجو و توصیف مولکول ژنتیکی الهام بخشید و با کمک کریستالوگرافی اشعه ایکس رزالیند فرانکلین، ساختار مارپیچ دوگانه DNA را در سال 1953 کشف کردند.
در اواسط قرن بیستم، برنامههای بیوفیزیک در کشورهای دیگر ظهور کرد و محبوبیت یافت و از 1950 - 1970، تحقیقات بیوفیزیک با سرعتی بیشتر از گذشته انجام شد. علاوه بر کشف DNA و ساختار آن، از تکنیکهای بیوفیزیک برای ایجاد واکسن، توسعه تکنیکهای تصویربرداری مانند اسکن MRI و CAT برای کمک به پزشکان در تشخیص بیماریها و ایجاد روشهای درمانی جدید مانند دیالیز، پرتودرمانی و ضربان ساز نیز استفاده شد. در حال حاضر، بیوفیزیک نیز تمرکز خود را بر مسائل مربوط به تغییر آب و هوای زمین آغاز کرده است. به عنوان مثال، برخی از متخصصان بیوفیزیک در حال توسعه سوختهای زیستی از میکروارگانیسمهای زنده هستند که میتوانند بنزین را به عنوان سوخت جایگزین کنند.
بیشتر تحقیقات بیوفیزیکی توسط فیزیکدانانی انجام شده است که به زیست شناسی علاقه دارند، بنابراین، باید راهی وجود داشته باشد که دانشمندان تحصیل کرده در فیزیک و شیمی - فیزیک بتوانند به زیست شناسی راه پیدا کرده و با مشکلاتی که ممکن است برای تفسیر فیزیکی باز باشد آشنا شوند. اگرچه گروههای زیست شناسی با گرایش کلاسیک اغلب موقعیتهایی را به متخصصان بیوفیزیک ارائه میدهند، اما اینگونه مراکز جایگزین مراکزی نمیشوند که تحقیقات بیوفیزیکی در آنها از اهمیت اصلی برخوردار است. برای یافتن اطلاعات بیشتر در زمینه بیوفیزیک و آموزش ویدئویی آن میتوانید به فرادرس زیر مراجعه کنید.
حوزههای تحقیقاتی بیوفیزیک
محتوا و روشهای بیوفیزیک با بررسی چندین کمک قابل توجه در علم نشان داده شده است. متخصص بیوفیزیک این توانایی را دارد که مشکلات بیولوژیکی را به بخشهایی تقسیم کند که قابل تفسیر دقیق فیزیکی هستند و فرضیههایی را که میتوان با آزمایش تجربی بررسی کرد، تدوین کند. ابزار اصلی بیوفیزیک نگرش ذهنی است. به این میتوان توانایی استفاده از نظریه فیزیکی پیچیده برای مطالعه اجسام طبیعی را اضافه کرد، برای مثال، در تکنیکهای پراش اشعه ایکس که برای تعیین ساختار مولکولهای بزرگ مانند پروتئینها استفاده میشود. در ادامه به بررسی شاخههای مختلف مورد مطالعه در بیوفیزیک میپردازیم.
بیوفیزیک ساختاری و دینامیک پروتئین
مطالعات مربوط به ساختار و پویایی ماکرومولکولهای بیولوژیکی مرتبط با عملکرد بخش مهمی از بیوفیزیک مدرن است. این حوزه تحقیقاتی طیف وسیعی از موضوعات را در بر میگیرد. زمینههای کنونی تحقیق شامل چگونگی تعامل پروتئینهای محلول در سیگنال دهی، تنظیم و مراحل کلیدی آنزیمی برای انجام عملکرد آنها و اینکه چگونه پروتئینهای غشایی تغییر شکل میدهند تا سیگنال تولید کنند، یونها و مولکولها را پمپ میکنند یا بر همجوشی غشا تأثیر میگذارند.
مطالعات بر ساختار پروتئینها، RNA و DNA با تأکید بر قوانین و مسیرهای تا شدن پروتئین، حرکت سریع پروتئین کانالها، پمپها و موتورها که فتوشیمی و انتقال نوری، برهم کنشهای مولکولی بین پروتئینها و DNA، مکانیسم کاتالیز RNA و طراحی لیگاندهایی که به اسیدهای نوکلئیک متصل شده و به عنوان تنظیم کنندههای خاص عمل میکنند متمرکز است. بینش در مورد رفتار مولکولی زیستی منجر به کاربردهای عملی در بیوتکنولوژی و مهندسی زیستی میشود. مهارتهای تکمیلی دانشمندان در زیستشناسی، فیزیک، شیمی و مهندسی در نزدیک شدن به این زمینههای تحقیقاتی پیشرفت را به طرز چشمگیری افزایش میدهد.
علوم اعصاب سیستم ها
علوم اعصاب سیستمها به عملکرد مدارهای عصبی در موجودات سالم میپردازد. هدف نهایی این حوزه تحقیق، درک عملکرد سیستم عصبی در سطوح مختلف، از سلولهای منفرد تا کل شبکهها است که رفتارهای پیچیدهای مانند بینایی، استماع و پاسخهای حرکتی را واسطه میکند. از آنجا که علوم اعصاب سیستمها به طیف وسیعی از مسائل میپردازد، تکنیکهای تجربی، تحلیلی و نظری را از طیف وسیعی از رشتهها ادغام میکند. به ویژه بسیاری از رویکردهای تحلیلی و نظری مهم ابتدا در فیزیک و مهندسی توسعه داده شد و برای کاربرد در نوروبیولوژی اصلاح شده است. در بهترین مقیاس تجزیه و تحلیل، محققان سیستم نحوه عملکرد سلولهای منفرد را به عنوان واحدهای محاسباتی مورد بررسی قرار میدهند. این مطالعات نقش توزیع کانال، خواص کابل الکتریکی و معماری دندریتیک را در محاسبات عصبی ارزیابی میکنند.
بسیاری از محققان سیستم به مکانیسمهای بیوفیزیکی که دارای ویژگیهای محاسباتی مهمی مانند انتخاب محرک، سازگاری و یادگیری در سلولهای منفرد بوده، علاقه مند هستند. در سطح انتزاعی تر، علوم اعصاب سیستمها در نظر میگیرد که چگونه پتانسیلهای عمل اطلاعات را در مورد جهان رمزگذاری میکند و چگونه اطلاعات را میتوان در شبکهای از سلولهای مختلف نشان داد. تحقیقات در این زمینه با توسعه نظریه اطلاعات در مهندسی و فیزیک امکان پذیر شد. در بزرگترین مقیاس، دانشمندان علوم اعصاب در مورد نحوه نمایش نواحی قشری متمایز اطلاعات مربوط به جهان و نحوه همکاری این مناطق برای ایجاد رفتار یکپارچه تحقیق میکنند. تمرکز اصلی تحقیقات در این زمینه بر روی پردازش بصری، از انتقال نوری شبکیه، اتصال و پردازش سیگنال، به ویژگیهای پاسخ و انتقال اطلاعات در تالاموس و مناطق بینایی اولیه قشر، به مناطق بالاتر مغز است. سایر زمینههای تحقیق شامل پردازش شنوایی، اساس حافظه یادگیری صوتی و پردازش بویایی است.
ریزبینی مولکولی و کاوشگرهای نوری
یکی دیگر از زمینههای تحقیقاتی فعال در بیوفیزیک، ریزبینی مولکولی است. در بطن ابتکار عمل، این ایده وجود دارد که نسل بعدی میکروسکوپ بستگی به کاوشگرهای نوری جدید ساخته شده از پروتئینها و اسیدهای نوکلئیک دارد، نه مواد شیمیایی آلی. توانایی تجسم هدف گیری در سلولهای ماکرومولکولهای بومی در حال حاضر کلیدی در درک عملکرد بیولوژیکی آنها ایجاد کرده است. گام بعدی درک نحوه جمع شدن آنها در مجتمعهایی است که عملکردهای سلولی را انجام میدهند و نظارت بر فعالیتهای آنها در زمان واقعی در شرایط in vivo با میکروسکوپ، به طوری که مکان فضایی فعالیت قابل درک است. رنگهای شاخص فلورسنت با ارائه اندازه گیری مداوم رویدادهای فیزیولوژیکی در سلولهای منفرد و جمعیتهای سلولی با وضوح زمانی و مکانی بالا، درک ما از سیگنالینگ سلولی را متحول کرده است.
تا کنون، این رنگهای آلی محدود بوده اند زیرا باید به طریق شیمیایی سنتز شده و به عنوان استرهای هیدرولیز شونده یا با تزریق میکرو معرفی شوند به این معنی که آنها یا تمام سلولهای یک بافت را به طور کامل پر میکنند، یا فقط یک یا تعداد کمی از سلولها دارای برچسب میشوند. در غیاب هدف قرار دادن رنگهای آلی به انواع سلولهای خاص، سیگنالهای نوری مورد علاقه اغلب یا با پس زمینه نشانگر از سلولهای غیرفعال، یا با سیگنالهایی در سلولهایی که مورد توجه نیستند، خاموش میشوند. علاوه بر این، سیگنالهای محلی ناشی از برهمکنش پروتئین - پروتئین در کل سیتوپلاسم که آن را رنگهای آلی پر میکنند قابل اندازه گیری نیستند.
سیگنالینگ و فیزیولوژی سلولی
سیگنالینگ سلولی و فیزیولوژی سلولی حوزههای تحقیقاتی هستند که به دلیل پیشرفت سریع در روشهای بیوفیزیکی و ادغام این روشها با بیولوژی مولکولی، بیوشیمی و ژنتیک اهمیت زیادی پیدا میکنند. این پیشرفتها به مطالعه فرآیندهای مولکولی در زمینه رفتار یکپارچه سلولها و اندامکهای آنها و بافتها و اندامها و ارگانیسمهای کامل کمک کرده است. علاوه بر این، استفاده از مدلهای ریاضی نظری در این تحقیق بینش منحصر به فردی در مورد نحوه رفتار مجموعههای کانالهای یونی، پمپها و سیستمهای سیگنالینگ سلولی رفتار سلولها را تعیین میکنند و اینکه چگونه گروههای سلولی رفتار بافتهای پیچیده مانند مغز را به طور مشترک تعیین میکنند، ارائه میدهد.
تحقیقات فعلی در زمینه بیوفیزیک شامل مطالعه عملکرد و تنظیم کانالهای یونی و انتقال دهندهها، مسیرهای پیام رسانی پروتئین است که تقسیم و رشد سلولی را تنظیم میکند، همچنین مکانیسمهای انقباض عضلات، انتقال در عصب و پلاستیسیته سیناپسی و پویایی غشاء و نقل و انتقالات که زیربنای ترشح است، ترمیم زخم غشایی و علامت دهی به اندامکها است. نقطه قوت بیوفیزیک در توسعه و استفاده از روشهای نوری و شیمیایی جدید برای اندازه گیری وضوح فضایی بالا در زمان واقعی فعالیت پروتئین و سطوح پیام رسان ثانویه در بخشهای زیر سلولی خاص سلولها در بافت دست نخورده است. تحقیقات بر روشن شدن مکانیسمهای بیولوژیکی و توسعه درمانهای ژنتیکی برای بیماریهای انسانی مانند فیبروز کیستیک، دیستروفی عضلانی، رتینیت پیگمنتوزا و دژنراسیون ماکولا در شبکیه متمرکز است.
تصویرسازی مغز و بیوالکترونیک
ما میتوانیم نحوه عملکرد یک سیستم عصبی را با کمی کردن خروجی (رفتار) آن در ارتباط با ورودی (محرک) استنباط کنیم. اما برای درک کامل یک سیستم عصبی، باید روشهایی برای اندازه گیری فعالیت عصبی آن نیز در نظر گرفته شود. اکثر چنین روشهایی تهاجمی هستند. با این حال، روشهای تهاجمی ایراداتی دارند از جمله اینکه سیستم مورد نظر برای اندازه گیری را تغییر میدهند، اغلب شامل بیهوشی هستند که فعالیت عصبی را تغییر میدهد، این عمل ممکن است رنج را به حیوانات تحمیل کند و معمولاً برای مطالعه انسان قابل استفاده نیست. تصویربرداری عصبی عملکردی غیر تهاجمی، اگرچه از روشهای تهاجمی در وضوح مکانی و زمانی عقب مانده است، اما عمدتاً فاقد این اشکالها بوده و بنابراین در مطالعه سیستمهای عصبی بسیار ارزشمند هستند.
گروههایی با تخصص فیزیک و شیمی در حال توسعه سخت افزار و نرم افزار تکنولوژیکی برای روشهایی مانند الکتروانسفالوگرافی (EEG)، تصویربرداری رزونانس مغناطیسی عملکردی (fMRI) و توموگرافی گسیل پوزیترون (PET) هستند. دیگران با تخصص در مدل سازی محاسباتی در حال توسعه روشهای تجزیه و تحلیل برای مجموعه دادههای بزرگ و پیچیده هستند که توسط روشهای تصویربرداری عصبی تولید میشوند. در نهایت، بیوفیزیکدانان این روشها را برای مطالعه سیستمهای عصبی در پردازش حسی و شناختی در حیوانات و انسانها و در سلامتی و بیماریها به کار میبرند.
بیومکانیک مقایسه ای
در بیوفیزیک بررسی فیزیک نحوه عملکرد ارگانیسمها مانند مکانیسم حرکت، تغذیه یا تحمل نیروهای محیطی مطالعه میشود. محققان بیوفیزیک در رابط بین بیومکانیک و فیزیولوژی مقایسهای، بوم شناسی و زیست تکاملی کار میکنند و تحقیقات خود را هم در آزمایشگاه و هم در زمینه زیستگاههای طبیعی موجودات زنده انجام میدهند. تکنیکهای آزمایشگاهی و محاسباتی از مکانیک جامد و سیال برای بررسی مشکلات مختلف از جمله جابجایی حیوانات در آب، زمین و هوا، جذب غذا، دریافت شیمیایی و تداخل بین طراحی مکانیکی، کنترل عصبی و واکنشهای رفتاری به محیطهای متغیر فیزیکی ترکیب شده اند.
ساختار و عملکرد گونههای مختلف گیاهی و جانوری در سطوح مختلف سازمان، از جمله بافتها، اندامها و سیستمهای اندام (به عنوان مثال، پاها، بالها، سیستمهای گردش خون، اندامهای بویایی)، موجودات کامل و تعامل آنها با محیط فیزیکی و سازگاریهای بیومکانیکی در طول زمان تکاملی مورد بررسی قرار میگیرد. اصول فیزیکی آموخته شده در مطالعات بیوفیزیک در مورد بیومکانیک ارگانیسمها، الهام بخش طراحی مواد و ماشین آلات ساخته شده توسط انسان (به عنوان مثال، بیومیمتیک) است.
گرایش های مختلف بیوفیزیک
همان طور که بیان شد بیوفیزیک، علمی بین رشتهای است که از روشهای فیزیکی برای مطالعه سیستمهای بیولوژیکی استفاده میکند. یک رشته دانشگاهی یا شاخهای از دانش است که در سطح کالج یا دانشگاه آموزش داده میشود و مورد تحقیق قرار میگیرد. شاخههای مختلف بیوفیزیک را در ادامه مورد بررسی قرار داده ایم.
- آسترو بیوفیزیک: زمینه تلاقی بین اخترفیزیک و بیوفیزیک مربوط به تأثیر پدیدههای اخترفیزیکی بر زندگی در سیاره زمین یا به طور کلی سیاره دیگر است.
- بیوفیزیک پزشکی: زمینهای بین رشتهای که روشها و مفاهیمی را از فیزیک گرفته تا پزشکی یا مراقبتهای بهداشتی، از رادیولوژی گرفته تا میکروسکوپ و نانوپزشکی اعمال میکند. بیوفیزیک بالینی، روند و اثرات انرژیهای فیزیکی غیر یونیزه کننده مورد استفاده در اهداف تشخیصی و درمانی را مطالعه میکند.
- بیوفیزیک غشایی: مطالعه غشاهای بیولوژیکی با استفاده از روشهای فیزیکی، محاسباتی، ریاضی و بیوفیزیکی.
- بیوفیزیک مولکولی: شاخهای بین رشتهای که روشها و مفاهیم فیزیک، شیمی، مهندسی، ریاضیات و زیست شناسی را به کار میگیرد برای درک سیستمهای زیستی و توضیح عملکرد بیولوژیکی از نظر ساختار مولکولی، سازماندهی ساختاری و رفتار پویا در سطوح مختلف پیچیدگی، که از مولکولهای تک گرفته تا ساختارهای فرا مولکولی، ویروسها و سیستمهای کوچک زنده را در بر میگیرند.
تکنیک های مورد نیاز در بیوفیزیک
تکنیکهای بیوفیزیکی روشهایی برای به دست آوردن اطلاعات در مورد سیستمهای بیولوژیکی در سطح اتمی یا مولکولی هستند. آنها با روشهای بسیاری از شاخههای دیگر علم همپوشانی دارند. در ادامه انواع تکنیکهایی که بیوفیزیکدانان با توجه به زمینه تحقیقاتی خود نیاز دارند را بررسی میکنیم.
- بیوفوتونیک: بیوفوتونیک ترکیب زیست شناسی و فوتونیک است، با فوتونیک علم و فناوری تولید، دستکاری و تشخیص فوتونها، واحدهای کوانتومی نور انجام میگیرد. بیوفوتونیک همچنین میتواند به عنوان توسعه و کاربرد تکنیکهای نوری، به ویژه تصویربرداری، برای مطالعه مولکولهای بیولوژیکی، سلولها و بافت توصیف شود. یکی از مزایای اصلی استفاده از تکنیکهای نوری که بیوفوتونیک را تشکیل میدهند این است که آنها یکپارچگی سلولهای بیولوژیکی مورد بررسی را حفظ میکنند.
- تصویربرداری از کلسیم: تصویربرداری از کلسیم تکنیکهای مختلف نوری برای ثبت محل و غلظت کلسیم را شامل میشود. معمولاً این کار در نمونههای سلولی و بافتی با استفاده از رنگهای نشان دهنده کلسیم فلورسنت ژنتیکی یا شیمیایی انجام میشود.
- کالریمتری: گرماسنجی تیتراسیون ایزوترمال (ITC) اثرات حرارتی ناشی از فعل و انفعالات را اندازه گیری میکند.
- کروماتوگرافی: تکنیکهای مختلفی از این زمینه برای تصفیه و تجزیه و تحلیل مولکولهای بیولوژیکی استفاده میشود.
- دوگانگی دایرهای: «دوگانگی دایرهای» (Circular Dichroism) روشی برای اندازه گیری کایرال بودن یک نمونه با استفاده از نور قطبی دایرهای است. این روش معمولاً برای تعیین ساختار پروتئین استفاده میشود.
- شیمی محاسباتی: شیمی محاسباتی استفاده از روشهای عددی برای بررسی ساختار و تعادل دینامیکی در سیستمهای بیولوژیکی را شامل میشود.
- کرایوبیولوژی: کرایوبیولوژی شاخهای از زیست شناسی است که به بررسی اثرات دمای پایین بر موجودات زنده در کرایوسفر زمین یا در علم میپردازد.
- تداخل سنجی پلاریزاسیون دوگانه: «تداخل سنجی پلاریزاسیون دوگانه» (Dual Polarisation Interferometry) تکنیکی تحلیلی که برای اندازه گیری ترکیب زمان و فعالیت طیف وسیعی از مولکولهای زیستی و برهم کنشهای آنها استفاده میشود.
- الکتروفیزیولوژی: الکتروفیزیولوژی خواص الکتریکی غشای سلولی را مطالعه میکند و دادههای عملکردی را ارائه میدهد که اغلب به تغییرات سیستماتیک در ساختار مربوط میشود. به طور معمول این دادهها را در مورد فرآیندهای الکتروژنیک، مانند کانال یونی یا فعالیت حمل کننده ارائه میدهد.
- استفاده از میکروسکوپ الکترونی: برای به دست آوردن تصاویر با وضوح بالا از ساختارها و پروتئینهای زیر سلولی از این روش استفاده میشود.
- طیف سنجی فلورسانس: برای تشخیص بازآرایی ساختار و همچنین برهم کنش مولکولهای زیستی کاربرد دارد.
- طیف سنجی نیرو: خواص مکانیکی تک تک مولکولها یا مجموعههای ماکرومولکولی را با استفاده از طنابهای انعطاف پذیر کوچک، نور لیزری متمرکز یا میدانهای مغناطیسی بررسی میکند.
- الکتروفورز ژل: این روش جرم، بار و فعل و انفعالات مولکولهای بیولوژیکی را تعیین میکند.
- تصویربرداری: تصویربرداری علمی از مواد بیولوژیکی، معمولاً با نوعی میکروسکوپ، یا گاهی غیر مستقیم مانند کریستالوگرافی اشعه ایکس یا تصویربرداری کامپیوتری در طیف گستردهای از بزرگنماییها برای دیدن ماکرو مولکولها، سلولها، بافتها یا موجودات زنده استفاده میشود.
- طیف سنجی جرمی: تکنیکی است که جرم مولکولی را با دقت زیاد به دست میدهد.
- ترموفورزیس مقیاس کوچک (MST): روشی برای اندازه گیری وابستگیهای پیوندی، فعالیتهای آنزیمی، تغییرات در ترکیب مولکولها و تغییر اندازه، آنتروپی بار یا هیدراتاسیون است.
- استفاده از میکروسکوپ: به طرق مختلف، به عنوان مثال، برای استفاده از ابزارهای لیزری برای اسکن و انتقال استفاده میشود.
- طیف سنجی رزونانس مغناطیسی هستهای: این تکنیک روش اندازه گیری محیط محلی هستههای اتمی در یک نمونه است و میتواند برای به دست آوردن اطلاعات ساختاری و جنبشی پروتئینها و مولکولهای کوچک استفاده شود.
- قیچیهای نوری و قیچی مغناطیسی: امکان دستکاری تک مولکولها، ارائه اطلاعات در مورد DNA و تعامل آن با پروتئینها و موتورهای مولکولی، مانند هلیکاز و RNA پلیمراز را فراهم میکنند.
- طیف سنجی NMR: اطلاعاتی در مورد ساختار دقیق مولکولهای بیولوژیکی و همچنین در مورد دینامیک ارائه میدهد.
- طیف سنجی تک مولکولی: تکنیکی است که به اندازه کافی برای تشخیص تک مولکولها حساس است و اغلب شامل تشخیص فلورسانس است.
- پراکندگی اشعه ایکس با زاویه کوچک (SAXS): تکنیکی است که ساختار مولکولی با وضوح پایین را ارائه میدهد.
- طیف سنجی یا اسپکتروفوتومتری: اندازه گیری انتقال نور از طریق محلولها یا مواد مختلف در طول موجهای مختلف نور را ممکن میکند.
- کریستالوگرافی اشعه ایکس: روشی برای تعیین ساختار دقیق مولکولها با وضوح اتمی به شمار میرود.
فارغ التحصیلان بیوفیزیک کجا کار میکنند؟
بیوفیزیکدانان، معلم و محقق در زیست شناسی، فیزیک، مهندسی و بسیاری از زمینههای دیگر هستند. آنها در دانشگاهها، بیمارستانها، استارتاپهای فناوری و شرکتهای مهندسی مشغول به کار هستند که آزمایشهای تشخیصی جدید، سیستمهای تحویل دارو یا سوختهای زیستی احتمالی را توسعه میدهند. بیوفیزیکدانان مدلهای کامپیوتری را توسعه میدهند تا دریابند چرا گونه جدید آنفولانزا از سیستم ایمنی بدن فرار میکند یا مدلهای سه بعدی از ساختارهای پروتئینی جدید را برای درک بهتر نحوه عملکرد آنها تهیه میکنند. آنها همچنین در زمینههای تخصصی مانند مالکیت فکری فعالیت میکنند، نشریات چاپی و آنلاین درباره علم مینویسند و در دولت برای مشاوره به قوه مقننه کار میکنند. کسانی که در بیوفیزیک آموزش دیده اند دارای امکانات نامحدود شغلی هستند.
معرفی فیلم آموزش بیوفیزیک (Biophysics)
بیوفیزیک علمی بین رشتهای است که از منظر فیزیک به بررسی و شناخت وقایع زیستی میپردازد. اشراف به این دانش، متضمن فهم بهتر تمامی آموزههای زیست شناسی است. این فرادرس که توسط آقای سعید حسامی تکلو دارای دکترای تخصصی بیوفیزیک از دانشگاه آزاد اسلامی واحد علوم و تحقیقات تدریس و به کمک تیم فرادرس تهیه و تدوین شده است، کاملا مبتنی بر روند مفاهیم و دروس ارائه شده در دوره کارشناسی زیست شناسی است.
این فرادرس که در بیست و چهار فصل ارائه شده است، در ابتدا آموزش مفاهیمی کاملا مربوط به مولکولهای کوچک و پیوندهای فيزيكی (مطابق دروس نیمسالهای ابتدایی کارشناسی علوم زیستی همچون شیمی آلی) سپس مفاهیم مربوط به ساختار و عملکرد مولکولهای بزرگ زيستی (مطابق دروس نیمسالهای میانی همچون بیوشیمی) و سپس رویکردهای بیوفیزیکی در سطح سلولی (مطابق دروس نیمسالهای پایانی کارشناسی همچون زیست شناسی سلولی و فیزیولوژی) ارائه میشوند. این آموزش برای رشتههای زیست شناسی، نانوتکنولوژی و مهندسی پزشکی و همچنین سایر علاقمندان به مفاهیم بیوفیزیک قابل استفاده است.
- برای مشاهده فیلم آموزش بیوفیزیک (Biophysics) + اینجا کلیک کنید.
کاربرد بیوفیزیک چیست؟
در حقیقت، بیوفیزیک دارای طیف وسیعی از کاربردها است که ارزش آن را به عنوان یک حوزه تحقیق در علم تقویت میکند. در بیوفیزیک، همه چیز در زمینه زیست شناسی میتواند یک حوزه مورد علاقه باشد. از سلولها تا محیط، فیزیک است که پایه را میسازد و سپس با ویژگیهای منحصر به فرد زیادی در افزایش پیچیدگیهای مطالعه شده از طریق زیست شناسی مشخص میشود. درک دقیق اینکه چرا بیوفیزیک مفید است و چه چیزی آن را از نظر کاربرد بسیار متنوع میکند ضروری است. در ادامه کاربردهای بیوفیزیک را توضیح میدهیم.
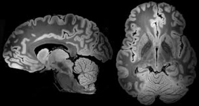
تصویربرداری
روشهای پزشکی از طریق بیوفیزیک به میزان قابل توجهی بهتر شده اند. با استفاده از اشعههای نوری و مغناطیس، تکنیکهای CAT و MRI و PET توسعه یافت که تصویربرداری سه بعدی و دسترسی به نمای داخلی بدن انسان کمک میکند. تصور این درمانها بدون چنین امکانات مدرن غیرممکن است. همچنین، ضربان سازها و کاردیوگرافها از الکتریسیته برای درک انقباض ماهیچهها و تکانههای عصبی استفاده میکنند. به عنوان مثال در MRI، از آهن ربا برای تراز کردن پروتونهای بدن با میدان مغناطیسی استفاده میشود. سپس یک جریان فرکانس رادیویی عبور میکند و پروتونها را از حالت تعادل میچرخاند. پس از حذف جریان، زمان لازم برای تنظیم مجدد پروتونها با میدان مغناطیسی و همچنین انرژی آزاد شده اندازه گیری میشود. بر این اساس، بافتها متمایز میشوند و تصویر دقیقی از بدن انسان به تصویر کشیده میشود.
ترکیببندی بیولوژیکی (بیوفیزیک مولکولی)
به دلیل میکرو بیوفیزیک، ساختار مولکولهای DNA با پراش اشعه ایکس شکسته و ساده شد. به همین دلیل، دانشمندان توانستند توالی یابی DNA را انجام دهند و مشاهده کنند که چگونه DNA بدن ما را برنامه ریزی میکند. مشاهده این که چگونه کوچکترین تغییر در پیوند بازها و نوکلئوتیدها بر فنوتیپ تأثیر میگذارد، منجر به گمانه زنیهایی در مورد اصلاح DNA شده است. تکنیکهای مشابهی برای درک ساختار هموگلوبین و ویروسها استفاده شده است. تکنیکهای طیف سنجی خاصی مانند طیف سنجی مادون قرمز و طیف سنجی Raman نیز برای درک ساختار داخلی موجودات زنده مفید هستند.
محیط زیست
بدیهی است که مولکولها و سلولهای موجودات زنده جالب هستند، اما پدیدههای ماکروسکوپی نیز وجود دارند که بسیار مورد توجه هستند. به ویژه، علم محیط زیست یکی از این زمینههای مهم است. برای درک چگونگی تعامل موجودات زنده با محیط زیست، چگونگی ظاهر شدن پدیدههای طبیعی و همزیستی زیست کره با محیط اطراف خود، به تحقیقات نیاز است. این امر به ویژه با تأثیرات مخرب انسان بر محیط زیست بسیار مهم است. در واقع، بسیاری از منابع سوخت مانند چوب، زغال سنگ و نفت که مورد استفاده قرار میگیرند، منابع تجدید ناپذیری هستند که به سرعت در حال اتمام هستند. بیوفیزیکدانان میتوانند روی توسعه قدرت سوخت هستهای و تولید سوختهای زیستی کار کنند که بسیار تجدید پذیر هستند.
درمان بیماریهای ویروسی
شاید بهترین راه برای باور به بیوفیزیک این باشد که آن را در عمل ببینید. بیماریهای همهگیر جدید مانند کرونا Corona Virus یا COVID - 19 به کمک بیوفیزیک به سمت پیدا کردن درمان و واکسن سریعتر پیش خواهند رفت. جهان برای مبارزه با این بیماری گرد هم آمده است. فیزیک ذرات و هستهای در پیشبرد پزشکی از جنبه فیزیک پیشتاز بوده است. موسسات فیزیک معروف مانند CERN و Fermilab در حال تبدیل شدن به نقاط مهمی برای تحقیقات پزشکی هستند. تلاشها برای بدست آوردن ساختار مولکول COVID با پراش اشعه X ادامه دارد. با استفاده از تکنیکهای کریستالوگرافی، فیزیکدانان در تلاش هستند تا دادهها را از بلورهای مولکول استخراج کنند. از آنجا، تجزیه و تحلیل فشردهای برای درک ساختار پروتئین و در نهایت ایجاد واکسن یا نوع دیگری از درمان انجام میشود، زمان بیشتری ممکن است طول بکشد.
درمان سایر بیماریها
در حالی که نظریه مهندسی نانو مولکولی توسط ریچارد فاینمن نظریه آینده نانو دارو را ارائه کرد. با مونتاژ محرکهای مولکولی مبتنی بر پروتئین، میتوان قرص حاوی این عوامل را بلعید و سلولهای مضر مانند سلولهای سرطانی را درمان کرد. برای از بین بردن سرطانها در حال حاضر از پرتودرمانی یا شیمی درمانی استفاده میشود. نحوه عملکرد این تابش به DNA سلولهای سرطانی آسیب میرساند یا یونهایی ایجاد میکند که این سلولهای سرطانی را از بین میبرند. با این حال، این تابشها بسیار قوی است و میتواند سلولهای غیر سرطانی را نیز از بین ببرد. از این رو، نیاز فوری به یافتن اشعهای است که سلولهای سرطانی را بدون آسیب رساندن به بدن انسان از بین ببرد.
بیوفیزیک موارد زیادی برای ارائه دارد و دانشمندان به این امر اذعان کرده اند که سرمایه گذاری سنگین تری در حال انجام است و تحقیق و توسعه با بازدهی بالاتر از این موضوع انتظار میرود. بیوفیزیک به خودی خود نشان میدهد که توانایی اصلاح درمان پزشکی و همچنین پیشبرد آن را دارد.
بیوفیزیک در ایران چگونه است؟
دانشگاههای مختلفی در ایران این رشته را در سطح ارشد و دکترا ارائه میدهند. افرادی که در گرایشهای مختلف زیست شناسی به ویژه زیست شناسی سلولی - مولکولی در سطح لیسانس تحصیل کرده باشند امکان شرکت در کنکور کارشناسی ارشد مجموعه زیست و قبولی در این رشته را دارند. در حال حاضر مرکز تحقیقات بیوشیمی و بیوفیزیک دانشگاه تهران (IBB) یکی از معتبرترین مراکزی است که دانشجویان این رشته را در سطح ارشد و دکترا پذیرش میکند. برای اطلاع از سایر دانشگاهها و ظرفیت پذیرش آنها بهتر است که هر ساله به دفترچه ثبت نام کنکور کارشناسی ارشد و دکترا مراجعه شود زیرا هر سال امکان تغییر ظرفیتها و رشتهها وجود دارد.

























سلام
در مورد تهیه مطالب اموزشی در مورد pcr و DNA
از خدمتتون سوال داشتم لطفا در صورت امکان با شما در تماس باشم .
من کارشناس علوم ازمایشگاهی هستم
سلام وقت شما بخیر؛
از همراهی شما با مجله فرادرس بسیار سپاسگزاریم؛ برای کسب اطلاع بیشتر در مورد تدریس در فرادرس و تهیه محتوای آموزشی میتوانید به این صفحه مراجعه کنید.