هیبنوتیزم چیست و چطور انجام می شود؟ – انواع هیپنوتیزم به زبان ساده
هیبنوتیزم که تلفظ صحیح آن هیپنوتیزم است را میتوان به عنوان یک حالت بیداری از آگاهی (یا هوشیاری) در نظر گرفت که در آن توجه فرد از محیط نزدیک او جدا میشود و توسط تجربیات درونی مانند احساسات، شناخت و تصویر جذب میشود. در این مطلب به تعریف هیبنوتیزم و هیپنوتیزم درمانی، قدرت هیبنوتیزم و کاربرد آن و عوارض احتمالی و پاسخ به تمامی سوألات مربوط به هیپنوتیزم میپردازیم.


هیبنوتیزم چیست؟
کلمه «هیپنوتیزم» (Hypnosis) از کلمه یونانی hypnos گرفته شده است که به معنای «خواب» است. هیپنوتیزم یک حالت روانی خلسه مانند است که در آن افراد افزایش توجه، تمرکز و تلقین پذیری را تجربه میکنند. در حالی که هیبنوتیزم اغلب به عنوان حالتی شبیه خواب توصیف میشود، بهتر است به عنوان حالتی از توجه متمرکز، تلقین پذیری شدید و تخیلات واضح بیان شود. القای هیپنوتیزمی شامل متمرکز کردن توجه و درگیری تخیلی تا جایی است که آنچه توسط فرد تصور میشود واقعی باشد.
به روش پذیرش پیشنهادها، پزشک و بیمار یک واقعیت هیپنوتیزمی میسازند. در حالی که افسانهها و باورهای غلط بسیاری وجود دارد، هیپنوتیزم یک فرآیند بسیار واقعی است که میتواند به عنوان یک ابزار درمانی مورد استفاده قرار گیرد. معمولاً فرض بر این است که در طول هیپنوتیزم، ضمیر ناخودآگاه در حالت تلقینپذیر است در حالی که ذهن خودآگاه منحرف شده یا هدایت میشود تا خفته شود.
بخشی از تصورات نادرست در مورد هیبنوتیزم این است که افرادی با قدرتهای به ظاهر جادویی برای دستکاری ذهن افراد بیگناه با دستورات صوتی معتبر و چشمان نافذ خود به عنوان هیبنوتیزم کننده در بسیاری از فیلمها یا داستانها به تصویر کشیده میشوند.

هیپنوتیزم درمانی یا هیپنوتراپی چیست؟
هیپنوتیزم درمانی که به آن هیبنوتیزم هدایت شده نیز گفته میشود، نوعی روان درمانی است که از آرامش، تمرکز شدید و توجه شدید برای دستیابی به حالت هوشیاری یا ذهن آگاهی بالا استفاده میکند. به عبارت دیگر، فرد را در حالت «ترنس» یا تغییر یافته آگاهی قرار میدهد. این شکل از درمان با هدف استفاده از ذهن برای کمک به کاهش یا کم کردن بسیاری از مسائل مانند روانپریشی، فوبیا، و عادات ناسالم، مخرب یا خطرناک مانند سیگار کشیدن یا نوشیدن زیاد مشروبات الکلی به عنوان طب جایگزین در نظر گرفته میشود. هدف از هیپنوتیزم، ایجاد تغییر مثبت در فرد در حالت نیمه بیهوشی یا خواب (خلسه) است. اگرچه هیپنوتیزم بحث برانگیز بوده است، اما اکثر پزشکان در حال حاضر توافق دارند که میتواند یک تکنیک درمانی قدرتمند و موثر برای طیف گستردهای از شرایط، از جمله درد، اختلال اضطراب و اختلالات خلقی باشد.
تفاوت هیبنوتیزم و هیپنوتیزم درمانی چیست؟
اگرچه هیبنوتیزم و هیپنوتراپی کلماتی هستند که به جای یکدیگر استفاده میشوند، اما این دو کلمه یکسان نیستند. هیپنوتیزم بیشتر حالت ذهنی است در حالی که هیبنوتیزم درمانی یا هیپنوتراپی نام نسخه درمانی است که در آن از هیپنوتیزم استفاده میشود.
هیبنوتیزم چگونه کار می کند؟
در طول هیپنوتیزم، یک هیپنوتیزم کننده یا هیپنوتیزم درمانگر آموزش دیده حالت تمرکز شدید یا توجه متمرکز را به فرد القا میکند. این یک فرآیند هدایت شده با نشانههای کلامی و تکرار است. حالت خلسه مانندی که وارد میشوید ممکن است از بسیاری جهات شبیه به خواب به نظر برسد، اما شما کاملاً از آنچه در حال وقوع است آگاه هستید. در حالی که شما در این حالت خلسه مانند هستید، درمانگر شما پیشنهاداتی را ارائه میدهد که به شما کمک میکند تا به اهداف درمانی خود دست یابید. از آنجایی که شما در حالت تمرکز شدید هستید، نسبت به پیشنهادات یا توصیههایی که در حالت عادی ذهنیتان، ممکن است آنها را نادیده گرفته یا نسبت به آنها بی توجه باشید، پذیرش بیشتری خواهید داشت. هنگامی که جلسه کامل شد، درمانگر شما را از حالت خلسه بیدار میکند، یا اینکه خود به تنهایی از آن خارج خواهید شد.
مشخص نیست که این سطح شدید تمرکز درونی و توجه متمرکز چه تأثیری دارد. هیپنوتیزم درمانی ممکن است بذر افکار مختلف را در طول حالت خلسه مانند در ذهن شما قرار دهد و به زودی این تغییرات ریشه دوانده و شکوفا شوند. هیبنوتیزم درمانی همچنین ممکن است راه را برای پردازش و پذیرش عمیقتر مسائل باز کند. در حالت روانی عادی شما، اگر ذهن به هم ریخته باشد، ممکن است نتواند پیشنهادات و راهنماییها را جذب کند.
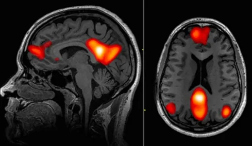
در هنگام هیپنوتیزم چه اتفاقی برای مغز می افتد؟
این که آیا هیپنوتیزم یک حالت تغییر یافته آگاهی است یا خیر حدود 200 سال است که بحث شده است. امروزه به نظر میرسد مطالعات تصویربرداری مغز تأیید میکند که هیپنوتیزم یک حالت تغییر یافته است. مطالعات متعدد با استفاده از الکتروانسفالوگرافی (EEG)، توموگرافی گسیل پوزیترون (PET) و تصویربرداری تشدید مغناطیسی عملکردی (fMRI) تغییرات مشخصی را در مغز در طول هیپنوتیزم و در پاسخ به پیشنهاد نشان میدهد. مطالعات تصویربرداری مغزی که اثر کلی حالت هیپنوتیزم را مشاهده میکنند (بر خلاف اثرات پیشنهادات خاص) نشان دادهاند که هیپنوتیزم باعث تغییرات قابل مشاهده در نواحی مغز و سیستمهای درگیر در موارد زیر میشود:
- آگاهی و احساس خود
- جذب توجه و تفکر مفهومی خود به خود
- تمرکز، کنترل توجه و عملکرد اجرایی (استدلال، حل مسئله، برنامه ریزی، خودکنترلی و انعطاف پذیری شناختی).
- عملکردهای بالاتر قشر مغز.
- آگاهی و کنترل فرآیندهای درونی بدن و احساسات.
- ارزیابی عاطفی و نگرانی.
مطالعاتی که اثرات پیشنهادات هیپنوتیزمی را مشاهده میکنند اغلب بر پاسخ عصبی فیزیولوژیکی به پیشنهادات درد، عملکرد حرکتی و فلج اندام، تصویرسازی ذهنی و حافظه متمرکز شدهاند. این مطالعات نه تنها نشان میدهند که تغییرات در فیزیولوژی مغز رخ میدهد، بلکه این تغییرات پدیدهها و رفتارهای مشاهده شده در هیپنوتیزم را نیز توضیح میدهد. نشان داده شده است که پیشنهاد هیپنوتیزم بر نواحی مغز و سیستمهای درگیر در موارد زیر تأثیر میگذارد:
- خواب و هوشیاری
- کنترل محرکها
- عملکردهای خودمختار، احساسات، انگیزه، کنترل تکانه، پیش بینی پاداش و تصمیم گیری
- درک رنگ
- استدلال و تصمیم گیری
- تصویرسازی، خودآگاهی و کنترل حرکتی

فعالیت عصبی در هیپنوتیزم
هیپنوتیزم باعث تغییراتی در فعالیت و اتصال مغز میشود که با کاهش خودآگاهی، افزایش کنترل احساسات درونی و نگرانی کمتر سازگار است. مطالعهای که توسط محققان دانشگاه استنفورد در ژوئیه 2016 انجام شد، آنچه را که در طول هیپنوتیزم در مغز اتفاق میافتد، بررسی کرد. تصویربرداری رزونانس مغناطیسی کاربردی (fMRI) برای مشاهده فعالیت مغز در 57 نفر در هیپنوتیزم استفاده شد. تغییرات در سه ناحیه خاص مغز مشاهده شد و نشان داد که:
- کاهش اتصال بین قشر پیشپیشانی - پشتی جانبی (بخشی از شبکه کنترل اجرایی درگیر در برنامه ریزی و تصمیم گیری) و قشر کمربندی خلفی (بخشی از شبکه حالت پیش فرض فعال در طول تفکر مرتبط با خود). این ارتباط کاهشیافته بین برنامهریزی اقدامات و خودآگاهی ممکن است دلیل فوری بودن عملی باشد که در طول هیپنوتیزم انجام میشود. در هیپنوتیزم، مانند حالتهای جذب عمیق در یک کار یا عملکرد، شخص به طور خود به خودی عمل میکند، بدون اینکه در مورد اعمال فکر کند.
- افزایش اتصال بین قشر جلویی پیشانی - پشتی جانبی (بخشی از شبکه کنترل اجرایی درگیر در برنامه ریزی و تصمیمگیری) و اینسولا (بخشی از شبکه برجسته که در حس کردن و تنظیم فرآیندهای درونی بدن نقش دارد) این ممکن است مسئول افزایش کنترل بر فرآیندهای بدنی و عاطفی در هیپنوتیزم باشد.
- کاهش فعالیت در قشر کمربندی قدامی پشتی (بخشی از شبکه برجسته که در ارزیابی احساسی خطاها و نگرانیها نقش دارد). ACC پشتی نیز در حین عملکرد پر تلاش فعال است. این کاهش فعالیت ممکن است توضیح دهد که چرا در هیپنوتیزم و حالتهای جذب عمیق، اعمال و عملکرد بدون زحمت و با نگرانی کمتر انجام میشود.
کاهش فعالیت در بخشهایی از شبکه حالت پیشفرض مغز (DMN) باعث افزایش جذب توجه میشود.
DMN شبکهای از نواحی مغزی متقابل است و زمانی فعال است که فرد درگیر کاری نیست و در هنگام فکر کردن، به خاطر سپردن و رویاپردازی است. DMN زمانی که فردی درگیر یک کار هدفمند باشد یا توجه او کاملاً جذب چیزی شده باشد فعال نیست. هیپنوتیزم فعالیت DMN را کاهش میدهد. کاهش فعال شدن DMN در تمرین کنندگان طولانی مدت مدیتیشن نیز مشاهده میشود. این واقعیت که مغز تحت هیبنوتیزم کاهش فعالیت DMN را نشان میدهد، از تعریف هیپنوتیزم به عنوان یک حالت جذب توجه پشتیبانی میکند، نه حالتی که در آن فرد هوشیاری خود را از دست میدهد. هیپنوتیزم پاسخهای عصبی مشابه تفکر مفهومی خود به خودی را نشان میدهد. شاید به همین دلیل است که هیپنوتیزم میتواند خلاقیت و بینش را برانگیزد.
افزایش فعالیت در سیستمهای توجه ناحیه جلویی (فرونتال) مغز باعث افزایش عملکرد اجرایی میشود.
نواحی جلویی مغز در توانایی فرد برای تمرکز، که به عنوان کنترل توجه شناخته میشود، نقش دارند. کنترل توجه ارتباط تنگاتنگی با کارکردهای اجرایی مانند استدلال، حل مسئله، برنامهریزی، خودکنترلی و انعطاف پذیری شناختی (توانایی تفکر همزمان درباره چندین مفهوم) دارد. هیپنوتیزم فعالیت سیستمهای درگیر در این عملکردها را افزایش میدهد و در اعتیاد و ADHD دچار اختلال میشوند.
هیپنوتیزم فعالیت را در نواحی مغز که در تنظیم هوشیاری دخیل هستند تعدیل میکند.
اسکن PET از جریان خونی - مغزی در هیپنوتیزم، درگیری قشر کمربندی قدامی (ACC)، تالاموس و ساقه مغز پانتو - مزانسفالیک را نشان میدهد. هیپنوتیزم جریان خون را در ناحیه اکسیپیتال افزایش میدهد و این مسئله با این تئوری که هیپنوتیزم برانگیختگی قشر مغز را کاهش میدهد (یعنی نظریه مهار قشر مغز) مطابقت دارد. افزایش جذب ذهنی در طول هیبنوتیزم با افزایش جریان خون در سیستم توجه مغز مرتبط است.
انواع هیبنوتیزم
یکی از بزرگترین تصورات غلط در مورد هیپنوتیزم این است که همه آنها یکسان هستند. اما افراد باید توجه کنند که در واقع انواع هیپنوتیزم درمانی و تکنیکهای مختلفی برای هیپنوتیزم وجود دارد. هیپنوتیزم یک حوزه وسیع است، وسیعتر از آن چیزی که اکثر مردم تصور میکنند و دارای شاخهها و زیرشاخههای زیادی است که با کاربردها و روشهای مختلف آن تعریف میشوند. با این وجود، چند نوع اصلی از تکنیکها و رویکردهای هیبنوتیزم برای هیبنوتیزم درمانی وجود دارد که در ادامه به آنها میپردازیم.
هیبنوتیزم سنتی
هیپنوتیزم سنتی شاید محبوب ترین شکل هیبنوتیزم و نوعی است که اغلب هنگام فکر کردن به هیبنوتیزم به ذهن افراد میرسد. این نوع متکی به پیشنهادات و دستوراتی است که در حالت هیپنوتیزم به شما داده میشود و میتواند بر رفتار، افکار یا احساسات شما در مورد چیزی تأثیر بگذارد. هیپنوتیزم سنتی معمولاً برای خودسازی و واقعیت سرگرم کننده استفاده میشود: این حالت از هیبنوتیزم اغلب در نمایشهای مختلف استفاده میشود.
هیپنوتیزم اریکسون
هیپنوتیزم اریکسون که به نام میلتون اریکسون (پدر هیبنوتیزم مدرن) نامگذاری شده است، نوعی هیبنوتیزم است که به جای پیشنهادات یا دستورات مستقیم از استعاره، داستان سرایی و پیشنهادهای غیرمستقیم استفاده میکند. تئوری پشت این تکنیک این است که شما کمتر در مقابل پیشنهادات غیرمستقیم مقاومت میکنید، که میتواند به شما در جذب و درونی شدن بهتر آنها کمک کند. این تا حد زیادی به ذهن ناخودآگاه شما متکی است و رویکرد طبیعیتری را برای پیشنهاد تغییر ارائه میدهد. این نوع هیپنوتیزم به ویژه برای کسانی که به هیبنوتیزم سنتی بدبین هستند مفید است.

هیبنوتیزم درمانی شناختی - رفتاری (CBH)
هیبنوتیزم درمانی شناختی - رفتاری (CBH) به شدت از درمان شناختی - رفتاری (CBT) استفاده میکند و از انواع تکنیکهای هیپنوتیزم درمانی برای ایجاد تغییر مثبت در افکار یا رفتار شما استفاده میکند. اگرچه بحثهایی در انجمن هیپنوتیزم درمانی در مورد تعریف دقیق و ماهیت آن وجود دارد، اما این حالت شباهتهای زیادی با سایر انواع هیپنوتیزم دارد. این شکل از هیپنوتیزم از ابزارها و عوامل روانشناختی مختلفی مانند تخیل، مفهومسازی و پیشنهاد استفاده میکند تا به شما در درک هر موضوعی که با آن روبرو هستید کمک کند.
هیپنوتیزم درمانی رگرسیون چیست؟
«هیپنوتراپی رگرسیون» (Regression Hypnotherapy) شامل نوعی از هیپنوتیزم درمانی میشود که شما را به گذشته برمیگرداند و هدف آن کشف دلیل یک مسئله یا مشکل در زمان حال است. این روش شامل هدایت شدن از طریق خاطرات و تجزیه و تحلیل رویدادهای گذشته برای درک بهتر وضعیت فعلی شما است. رگرسیون درمانی یک تکنیک هیپنوتیزم درمانی بسیار ظریف و بداهه در نظر گرفته میشود و اغلب به عنوان آخرین راه حل برای ایجاد تغییر در رفتار یا دیدگاه استفاده میشود. این تکنیک به یک هیپنوتیزم درمانگر بسیار آموزش دیده نیاز دارد زیرا برخی از رویدادهای گذشته ممکن است آسیبزا و دردناک باشد.
هیپنوتیزم درمانی متمرکز بر راه حل
این نوع هیبنوتیزم درمانی بر ارزیابی وضعیت فعلی شما و تصمیم گیری در مورد آینده شما تمرکز دارد و به شدت به هدف گذاری متکی است همچنین بیشتر بر یافتن راه حلی برای یک موضوع یا مشکل خاص تمرکز میکند تا اینکه علت یا دلایل آن را کشف کند. این نوع هیپنوتیزم درمانی مراجع محور است، جایی که شما رهبری جلسات را بر عهده میگیرید و هیپنوتیزم درمانی شما به عنوان یک تسهیل کننده در تعیین راه حل مناسب به شما کمک میکند. ماهیت آن مشارکتی است و موفقیت آن به همکاری شما و هیبنوتیزم درمانگر برای یافتن بهترین راه حلها برای دستیابی به اهدافتان بستگی دارد.
برنامه ریزی عصبی - زبانی (NLP)
اگرچه در مورد اینکه آیا این روش نوعی از هیپنوتیزم درمانی است یا خیر اختلاف نظر وجود دارد، اما شکی نیست که برنامه ریزی عصبی - زبانی و هیبنوتیزم شباهتهای زیادی دارند. در واقع، بسیاری از هیپنوتراپیستها از آن به عنوان ابزاری برای کمک به مراجع برای ایجاد تغییر دلخواه استفاده میکنند. NLP رابطه بین حواس شما و نحوه پردازش زبان را به عنوان راهی برای ایجاد تغییر مثبت در زندگی شما بررسی میکند.

ابزار و تکنیک های مورد استفاده در القای هیبنوتیزم
القای هیپنوتیزم اولین فرآیندی است که یک هیپنوتیزم کننده برای قرار دادن مراجعان در حالت خلسه استفاده میکند، جایی که آنها نسبت به پیشنهادات بازتر هستند. برخی از ابزارها یا تکنیکهای مورد استفاده در القای هیپنوتیزم را در ادامه بررسی کردهایم.
تکنیک ریلکسیشن
یکی از تکنیکهای رایج مورد استفاده توسط درمانگر، ریلکسیشن است، یک مراجع در حالت آرامش ممکن است به حالت خلسه بیفتد و ذهن او برای پیشنهاد باز باشد. مراجعان آرام تمایل بیشتری به صحبت با درمانگر دارند و پذیرای پیشنهادات غیرمستقیم هستند.
تکنیک دست دادن
در بیشتر جوامع، دست دادن رایجترین شکل احوالپرسی است، و میلتون اریکسون علاوه بر هیپنوتیزم درمانی از تکنیک دست دادن به عنوان راهی برای ایجاد خلسه هیپنوتیزمی استفاده میکند. با دست دادن، ضمیر ناخودآگاه با برهم زدن هنجار اجتماعی رایج شوکه میشود. هیپنوتیزم کننده الگوی ایجاد شده توسط ذهن ما را با گرفتن مچ دست یا کشیدن سوژه به جلو و خارج از تعادل، به روشی غیرعادی از دست دادن، قطع میکند. ناگهان، با الگوی منقطع، ضمیر ناخودآگاه برای پیشنهادات باز میشود.
تکنیک بازوی شناور
تکنیک شناور شدن بازو یک تکنیک کلاسیک اریکسونی برای القای هیپنوتیزم است. این روش با بستن چشمهای مراجع شروع شده و از آنها خواسته میشود تا متوجه تفاوت بین بازوهای خود شوند. به عنوان مثال، ممکن است بگویند بازو سرد یا گرم، سبک یا سنگین است. پیشنهاداتی توسط هیپنوتیزور در مورد احساسات هر بازو ارائه میشود. در حالت خلسه، مراجعین ممکن است به سادگی در ذهن خود باور کنند که بازوی خود را بلند کرده اند یا ممکن است به صورت فیزیکی بازوی خود را بلند کنند. در هر صورت، القاء موفق حاصل میشود.
اشاره چشم
نیمکره راست مغز خلاقیت و هوشیاری را مدیریت کرده در حالی که نیمکره چپ، حوزه عملی و ناخودآگاه را مدیریت میکند. در طول مکالمه، جهت چشمهای مراجع نشان دهنده کرهای از مغز است که به آن دسترسی دارید، نگاه به سمت راست نشان دهنده دسترسی به آگاهی و خروج از ناخودآگاه است. اگر چشمها به ضمیر ناخودآگاه دسترسی دارند، میتوانید پیشنهاد دهید که آنها آگاهانه هوشیار نیستند. همچنین ممکن است چشمها به یک شی در اتاق خیره شوند.
تجسم و تصویرسازی
هم خلسه و هم پیشنهادها را میتوان با استفاده از تکنیک تجسم القا کرد. به عنوان مثال، میتوان از مراجع خواسته شود که اتاقی را که با آن آشناست به یاد بیاورد تا از تمام جزئیات اتاق مانند پنجرهها، کف، نور، دیوار، نقاشی و غیره تصویربرداری کند. پس از آن، فرد به اتاقی منتقل میشود که کمتر با آن آشنایی دارد. از آنجایی که فرد تلاش میکند تا جزئیات دقیق را به خاطر بیاورد، ذهن او برای پیشنهاد باز است. تجسم را میتوان برای یادآوری خاطرات مثبت و تصاویر و تجربیات مثبت (عروسی، فارغ التحصیلی، جشن تولد) برای تغییر درک فرد از یک تصویر منفی استفاده کرد.
سقوط به عقب
مراجعین شوکه شده میتوانند وارد حالت خلسه شوند. یک بار پای یک زن توسط اریکسون لگد شد که به دنبال آن پیشنهاد صورت گرفت. احساس به عقب افتادن یا سقوط مطمئن از سالم ماندن به عنوان یک نسخه ملایمتر، سیستم ذهنی را شوکه میکند و ذهن را برای پیشنهاد باز میکند. با این حال، قطعا موضوع اصلی حذف نخواهد شد.
تثبیت چشم ها
به عنوان مثال، موقعیتی را در نظر بگیرید که شخصی در حال صحبت کردن است و شما به صورت خیره ماندن به یک آیتم جالب در اتاق هستید. اگر به طور کامل از آنچه صحبت میکند غافل شده اید، ممکن است در حالت خلسه بوده باشید. یکی از اشیاء معروفی که در القای خلسه استفاده میشود، «آونگ قدرت» یا «ساعت جیبی چرخان» است، اگرچه از هر جسمی میتوان برای رسیدن به آن استفاده کرد. شی ضمیر ناخودآگاه را برای پیشنهاد باز میکند و خودآگاه را مشغول نگه میدارد.
شمارش معکوس تنفس
در مدیتیشن، از تنفس کنترل شده استفاده میشود، همچنین میتواند به عنوان یک شکل آسان از خود هیپنوتیزم عمل کند. روند کار به صورت زیر است:
- چشمان خود را ببندید و به صورت عمودی روی یک صندلی بنشینید و دستان خود را روی پاهای خود قرار دهید.
- از طریق بینی عمیق نفس بکشید و از طریق دهان بیرون دهید.
- با استفاده از نفسهای کنترل شده آهسته، از 100 شمارش معکوس کنید.
- هر بازدم یک بازه حساب میشود.
- در پایان ممکن است در حالت خلسه باشید. در غیر این صورت تمرین را با شمارش معکوس از یک عدد بالاتر ادامه دهید.
اسکن بدن
اسکن بدن یک روش محبوب است که در خود هیبنوتیزم استفاده میشود. اسکن را از بالای بدن با چشمان بسته شروع کرده، به آرامی از سر تا پاها اسکن کنید. باید به هر احساسی توجه کرد، نفس شما قفسه سینه را باز میکند، بدن شما با صندلی روی پشت شما یا زمین تماس یافته، پاها روی زمین، هر انگشت دراز شده و لمس کننده زمین. این تکنیک یکی از روشهای استراحت و مدیتیشن در یوگا به نام شاواسانا نیز تعریف شده است. این روند باید از پایین به بالا تکرار شود، اسکن بالا و پایین باید تا زمانی که وارد حالت خلسه شوید ادامه یابد. سایر تکنیکهای القای هیپنوتیزمی مانند تنفس شمارش معکوس و آرامش را میتوان با اسکن بدن برای افزایش اثربخشی ترکیب کرد.
پیشنهادات هیبنوتیزمی
رفتار مطلوبی که باید توسط مراجع انجام شود، پیشنهاد نامیده میشود. پس از اینکه یک فرد هیپنوتیزم شده وارد خلسه میشود (حالتی که در آن فرد برای تأثیرگذاری بازتر است)، پیشنهادات پس از هیپنوتیزم ارائه میشود. پیشنهادات بر اساس مکاتب فکری به دو دسته مستقیم و غیرمستقیم طبقه بندی میشوند.
پیشنهاد مستقیم
دستور صریح برای انجام یک عمل خاص به عنوان یک پیشنهاد مستقیم در هیبنوتیزم مکالمهای شناخته میشود. این ابزار قدرتمندی است اگرچه به دلیل قدرت یا قدرتی که هیپنوتیزم کننده بر مراجع دارد غیراخلاقی تلقی میشود. با این روش، مراجع تصمیم به تغییر رفتار را کنترل نمیکند. برخی از پیشنهادات مستقیم کلاسیک عبارتند از:
- شما سیگار را ترک خواهید کرد
- شما خواهی رفت بخوابی
- شما وزن کم خواهید کرد
پیشنهاد غیر مستقیم
هیپنوتراپیستهای معتبر از پیشنهاد غیرمستقیم به عنوان روش مورد علاقه خود استفاده میکنند، میلتون اریکسون از طرفداران پیشنهاد غیرمستقیم بود. در این روش کنترل به جای دست اقتدارگرا در دست آزمودنی است، مرزها و اخلاق بالینی بیمار رعایت میشود. ثابت شده است که این روش برای افراد مشکوک یا مقاوم به خلسه موثرتر است. میتوان گفت وقتی راحت هستید، ممکن است خودتان بخواهید چشمان خود را ببندید به جای اینکه دستور (پیشنهاد مستقیم) را از طرف هیپنوتراپ اجرا کنید.

مزایا و معایب روش های سنتی در مقابل هیبنوتیزم درمانی
اعتقاد بر این است که هیپنوتیزم سنتی ساده ترین و آسان ترین شکل هیپنوتیزم درمانی است که حتی توسط خود فرد نیز میتواند انجام شود. هیبنوتیزم سنتی به عنوان یک مزیت نسبت به روش مرسوم، معتبر است و میتواند ابزار قدرتمندتری با استفاده از پیشنهادات مستقیم باشد. به عنوان یک نقطه ضعف، این رویکرد معمولاً با مقاومت روبرو میشود. رویکرد هیبنوتیزم درمانی، روشی ظریف و محترمانه با استفاده از پیشنهادات غیرمستقیم است و دارای مزایای سازگاری، اخلاقی و مؤثرتر از روش سنتی است، رویکرد سنتی توسط برخی از مکاتب فکری غیراخلاقی تلقی میشود. یکی دیگر از معایب رویکرد سنتی این است که برخی از مطالعات ادعا میکنند که این شکل از هیبنوتیزم به ندرت به بیش از 30 درصد موفقیت دست مییابد و میزان عود بیشتری دارد. اگرچه ممکن است مراجعین احساس بهتری داشته باشند، اما احتمال دارد دفعه بعد که اتفاق مشابهی بیفتد، بهتر عمل نکنند.
خطرات هیپنوتیزمی
بر اساس متون بررسی شده در اواخر دهه 1980، هیپنوتیزم با برخی خطرات مرتبط است. مقالات چند مورد از بیمارانی را که پس از هیبنوتیزم رفتار نامطلوب و غیرقابل پیش بینی از خود نشان دادند، ثبت کردند. عوارض یا واکنشهای نامطلوب معمولاً در طول هیپنوتیزم شامل افکار غیر منتظره و ناخواسته، احساسات یا رفتارهایی در حین یا بعد از هیپنوتیزم که با اهداف توافق شده سازگار نیست و با اختلال در عملکرد ذهنی بهینه در فرآیند هیبنوتیزم اختلال ایجاد میکند است. عوارض جانبی که اغلب مشکوک هستند شامل حالت تهوع، وحشت، سرگیجه، خواب آلودگی، سردرد، سفتی، اضطراب و واکنشهای جدی مانند پوشاندن اختلالات ارگانیک و جایگزینی علائم گهگاهی است.
نقص در تکنیکهای هیبنوتیزم کننده مانند عدم اطلاع از اینکه پیشنهادات در هیبنوتیزم به معنای واقعی کلمه پذیرفته میشود، بیمار را به سرعت از حالت خلسه خارج می کند، استفاده نامناسب از رگرسیون سن، عدم غربالگری از قبل برای آسیب شناسی روانی خاص، یا انتظارات از پیش ساخته شده در مورد عواقب منفی هیبنوتیزم که قبل از شروع جلسه از بین نرود، علت اصلی مشکلات در نظر گرفته شد.

کاربردهای هیبنوتیزم
در اواخر دهه 1700 میلادی، زمانی که گزینههای درمانی مؤثر دارویی و جراحی محدود شد، هیپنوتیزم به یک روش محبوب برای درمان برخی شرایط پزشکی تبدیل شد. هیبنوتیزم برای شرایطی مانند اضطراب، افسردگی، فوبیا و اختلالات کمبود توجه استفاده میشود که تصور نمیشود اساساً روانشناختی باشند، اگرچه پتانسیل یک مبنای روانشناختی برای بسیاری از شرایط ذکر شده وجود دارد. هیپنوتیزم به طور موثر در انواع تنظیمات پزشکی مانند مدیریت درد مزمن، زایمان، جراحی، دندانپزشکی و غیره استفاده شده است. مطالعات متعددی اثربخشی آن را در درمان اختلالات اضطرابی گزارش کردهاند.
انجمن پزشکی آمریکا در سال 1958 و انجمن روانشناسی آمریکا در سال 1960 استفاده از هیپنوتیزم را به عنوان یک درمان کمکی تایید کردند. در انواع شرایط روحی و جسمی، اثربخشی آن ثابت شده است. بیشتر، کاربردهای معاصر هیپنوتیزم بالینی میتواند در چهار زمینه اصلی باشد: رفتاری، روانشناختی، پزشکی و خودسازی. کاربردهای پزشکی معاصر هیبنوتیزم شامل درمان، جراحی و دندانپزشکی است که استفاده از آنها بر جنبههای جسمی و رفتاری بیماری تأثیر میگذارد. اگرچه روش هیپنوتیزم سنتی برای درمان اضطراب، افسردگی، فوبیا و اختلالات کمبود توجه استفاده میشود، رویکردهای مدرن یا مرسوم در هیبنوتیزم بالینی به عنوان درمان کمکی، مکمل یا جایگزین در پزشکی امروزی استفاده میشود.
هیپنوتیزم در درمان اختلالات افسردگی
استفاده از تکنیکها و روشهای درمانی بیشتر در درمان افسردگی مانند درمان هر اختلال روانی دیگر، شانس بیشتری برای نتایج موفقیت آمیز دارد. هیبنوتیزم به جهات مختلف به روشی هدفمند به عنوان یک ابزار بسیار کارآمد و انعطاف پذیر به کار میرود و آن را برای درمان افسردگی مناسب میکند. ممکن است برای کاهش اضطراب، افزایش پاسخگویی، قطع نشخوار فکری منفی و ایجاد امید مثبت استفاده شود. در الگوهای سفت و سخت و تحریف شده تفکر یا تفسیر رویدادها، هیبنوتیزم ممکن است با شدت بیشتری برای تسهیل انعطاف پذیری استفاده شود. مطالعه Alladin و Alibhai در سال 2007 اولین مقایسه درمانی با استفاده از هیپنوتیزم را به عنوان مکمل یک درمان روانشناختی تثبیت شده (درمان رفتاری - شناختی بِک برای افسردگی) برای افسردگی نشان میدهد.

درمان اختلالات اضطرابی با استفاده از هیپنوتیزم
گزارش سال 1996 توسط پنل ارزیابی فناوری انستیتوی ملی بهداشت آمریکا راه حلی موثر و قابل اجرا برای درمان دردهای مرتبط با سرطان و بسیاری دیگر از شرایط درد مزمن در نظر گرفته شده است. هیبنوتراپی همچنین برای درمان اضطراب در درد حاد، بیدردی و استفراغ موثر گزارش شده است. در مطالعهای که بروگنولی و همکاران انجام دادند همچنین تأثیرات هیبنوتیزم را برای مدیریت اضطراب به عنوان یک درمان کمکی برای بیمارانی که مراقبتهای تسکینی در شرایط بیماریهای مزمن دریافت میکنند، گزارش کردند.
هیبنوتیزم و ترک سیگار
هیبنوتیزم به عنوان یک درمان شناختی - رفتاریِ کمکی برای ترک سیگار استفاده شده است. درمان ترکیبی هیپنوتیزم و رفتار درمانی شناختی برای ترک سیگار بهتر از شرایط کنترل لیست انتظار بود. در سال 1988، این نتایج در مطالعهای تکرار شد که حجم نمونههای بزرگتر را با شرایط یکسان مقایسه کرد.
مدیریت آلرژی به کمک هیبنوتیزم
همانطور که توسط برخی مقالات پیشنهاد شده است، بسیاری از آلرژیها مبنای احساسی دارند، بنابراین میتوان با استفاده از یک رویکرد هیپنوتیزمی آنها را درمان کرد. با این حال، مطالعات نشان داده اند که هیبنوتیزم ممکن است پاسخ فیزیولوژیکی بدن را به محرکهای مختلف تغییر دهد. اثرات مثبت حمایت اجتماعی بر فعالیت سلولهای کشنده طبیعی و سطوح کورتیزول توسط برخی از محققان نشان داده شده است، این پیامدهایی برای پیشرفت سرطان دارد.
اثر هیبنوتیزم در درمان ناتوانی جنسی
پتانسیل قوی هیپنوتیزم برای مدیریت ناتوانی جنسی در مقالات پزشکی از دهه 1960 ثبت شده است و این ادعا توسط کارآزماییهای بالینی اخیر تأیید شده است، میزان موفقیت 88 درصدی استفاده از هیپنوتیزم برای ناتوانی جنسی در تقریباً 3000 بیمار گزارش شده است. با استفاده از هیپنوتیزم و طب سوزنی، 75 درصد موفقیت در درمان ناتوانی جنسی ثبت شد.
درمان استفراغ با هیبنوتیزم
در بسیاری از مواقع، شیمیدرمانی با عوارض جانبی تهوع و استفراغ همراه است، این عوارض جانبی ناخواسته از جمله با هیپنوتیزم درمانی کاهش مییابد. نیاز به داروهای ضد استفراغ با استفاده از هیپنوتیزم برای مدیریت عوارض جانبی شیمیدرمانی در کودکان مبتلا به تهوع و استفراغ به طور قابل توجهی کاهش یافت.
مدیریت اختلالات گوارشی به کمک هیبنوتیزم
یکی از شایع ترین اختلالاتی که در عمل گوارش یافت میشود، سندرم روده تحریکپذیر (IBS) است که علت آن پیچیده است، استرس عاطفی، خشم و افسردگی بر IBS تأثیر منفی میگذارد و در نتیجه علائم این اختلال را بدتر میکند. تأثیر مهم درمان هیپنوتیزمی که چندین سال طول میکشد در اکثر بیماران مبتلا به سندرم روده تحریک پذیر نشان داده شده است.
تأثیر هیبنوتیزم بر زایمان
تجربه بیماران تحت درمان با هیپنوتیزم در بدو تولد رضایت بخش بوده، هیپنوتیزم همچنین برای تسهیل زایمان در مامایی و زایمان کوتاهتر استفاده شده و نیاز به استفاده از داروهای ضد درد به میزان قابل توجهی کاهش داشته است.
بهبود مشکلات تنفسی با هیپنوتیزم
نشان داده شده است که هیپنوتیزم باعث بهبود عملکرد ریوی در بیماران مبتلا به آسم با هیپنوتیزم پذیری بالا و متوسط میشود. گروهی از محققان اثربخشی هیپنوتیزم را برای مدیریت حالات احساسی تشدید کننده انسداد راههای هوایی گزارش کردند.
کاربرد هیپنوتیزم در مدیریت درد بالینی
به طور واضح، درد آنالوگ با هیبنوتیزم کاهش یافته است، اطلاعات اولیه در مورد مکانیسمهای فیزیولوژیکی احتمالی بیدردی هیپنوتیزمی توسط مطالعات نشان دهنده فعالیت سیستم عصبی مرکزی در طول روشهای هیپنوتیزمی ارائه شده است. در مطالعه دیگری، اثربخشی هیپنوتیزم بر کاهش درد نشان داده شده است که به درک نظری بیدردی هیپنوتیزمی کمک میکند. این یافتهها توسط برخی مطالعات نوروفیزیولوژیکی به سطح جدیدی از پیچیدگی منتقل شدند. به عنوان یک درمان کمکی، هیپنوتیزم بالینی برای کاهش درد در بیماران سرطانی و همچنین بیماریهای مزمن شدید برای بیماران تحت مراقبت تسکینی موثر در نظر گرفته شد. در مدیریت درد مزمن یا درد ناشی از سرطان در کودکان، هیپنوتیزم به عنوان یک تکنیک موثر در نظر گرفته میشود. کاهش درد در بیماران مبتلا به سرطان سینه متاستاتیک با روش هیپنوتیزمی نیز گزارش شده است.
اثربخشی هیبنوتیزم در درمان سردرد و میگرن
هیپنوتیزم معیارهای تحقیقاتی در روانشناسی بالینی را برآورده میکند تا به عنوان یک درمان موثر شناخته شده برای سردرد و میگرن در نظر گرفته شود. هیچ خطری از واکنشهای نامطلوب یا عوارض جانبی توسط هیپنوتیزم ایجاد نمیشود. این امر هزینه داروهای مرتبط با درمانهای پزشکی معمولی را کاهش میدهد.
کاربرد هیبنوتیزم در افزایش عملکرد
هیپنوتیزم ورزشی به بهبود عملکرد و رفاه یک ورزشکار یا کاربر کمک میکند. این شکل از هیپنوتیزم بر اساس سه تکنیک ترکیبی از روشهای آموزش ذهنی است: خود هیپنوتیزم، هیپنوتیزم چشم باز و هیپنوتیزم سنتی با چشم بسته. این نوعی هیپنوتیزم هوشیار است. سیگنالها یا محرکهای پس از هیپنوتیزم و فعالیتهای ورزشی ریتمیک میتوانند حالت هیپنوتیزم ورزشی (SHS) را القا کنند و حالت جایگزینی از آگاهی به دست میآید. عملکرد در حالت هیپنوتیزم ورزشی در حالت جریان یافته اتفاق میافتد، که علیرغم تلاش کم، نتایج را افزایش میدهد، که به عنوان اثربخشی آرام شناخته میشود. گزارشهای قهرمانان بازیهای المپیک نشان میدهد که اوج عملکرد از طریق آموزش حالت هیپنوتیزم ورزشی به دست میآید. در تلاش برای عملکرد عالی، میتوان از تکنیکهای هیپنوتیزم ورزشی نیز استفاده کرد.
نتیجه گیری
علیرغم نمایش دادن تصویر تحقیرآمیز هیپنوتیزم و تصورات نادرست پیرامون آن، هیپنوتیزم هنوز کاربردهای متعددی در پزشکی معاصر دارد. هیپنوتیزم درمانی که توسط یک درمانگر آموزش دیده انجام میشود به عنوان یک جایگزین مکمل یا بیخطر درمانهای امروزی برای بسیاری از بیماریها در نظر گرفته میشود.





















سیار عالی و منسجم توضیح داده شده است
با سپاس
با عرض سلام و ادب واحترام خدمت حضرتعالی
عالی بود